A Look at Mammography: 2D vs 3D

Confused about when to start breast cancer screening or if 2D or 3D mammogram is best for you? Get advice on age, exam options, and breast density.

The best weapon against breast cancer is prevention and early diagnosis through screening. But at what age should you have your first screening? And what screening exam should you choose? 

You may have heard of 3D mammography. We went to one of our leading breast imaging experts to find the answers. Women who are 40 to 50 years old find conflicting viewpoints in the media and on the web. He says there are three important questions women should ask their doctors about screening. 

1. What Age Should I Start Breast Cancer Screening? 

Most breast cancer in the U.S. occurs in the age group from 45 to 75 years with the peak in the 55- to 64-year age group. But that doesn't mean younger women are immune. 

A quarter of all breast cancers occur in the 40- to 50- year age group, and most medical societies, like the American Cancer Society and American College of Radiology, recommend annual screening for women in their 40s. 

Breast cancer experts at UMass Memorial also recommend annual screening for women after age 40, and some women at risk may need to start screening earlier. The best advice is to talk with your primary care physician. 

2. Should I Get a 2D or 3D Mammogram? 

A standard 2D digital mammogram is a common method, and some facilities in the United States perform only these screenings. Digital mammograms are superior to film-screen mammograms, which are being phased out. Now, 3D breast imaging, or tomosynthesis, is a common method. 

Current scientific literature suggests that this is superior to the traditional 2D mammograms, which has some disadvantages. 

 

Image
Normal breast tissue may mimic an abnormality due to overlap, resulting in a false positive test and a call back for additional testing. 

 

A small cancer is masked by the normal breast tissue resulting in a false negative interpretation.

 

In 3D tomosynthesis, thin slices of the breast are obtained, and evaluation of the breasts is like flipping the pages of a book. This makes the examination more sensitive, improving the ability to detect invasive cancers by 15 to 22%, and reduces the likelihood of false positive and false negative results. 

For the patient, the experience of 3D tomosynthesis is no different from getting a standard mammogram. It just takes a few seconds longer. 

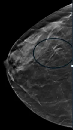
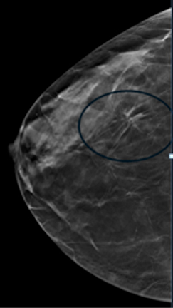
Compare these two images. You can see the benefits of 3D tomosynthesis. A small cancer (circled) on tomosynthesis slices in image A (left) is not apparent in the standard 2D mammogram, image B (right) of the same patient and same projection.

 

3. Are My Breasts Dense? What Should I Know? 

Breast composition may vary from being essentially fatty to extremely dense. Dense breasts are not abnormal and are generally seen in about 40% of the U.S. population. But dense breasts can mask an underlying cancer, making it difficult for your radiologist to make a diagnosis on your mammogram. In addition, breast density may slightly increase your chance of developing breast cancer. 

Many states have mandated legislation that requires a mammography facility to inform women about their breast composition. 

UMass Memorial Health radiologists routinely perform 3D tomosynthesis for their patients with dense breasts. Mammograms are performed at UMass Memorial Health hospitals and sites.

Other related articles by:

3D | breast cancer | mammography | women's health

Note: The content of this blog is for informational purposes only. It is not intended for use as diagnosis or treatment of a health problem or as a substitute for the professional consultation of a physician or qualified health care provider. If you have specific questions or concerns regarding a health or medical condition, contact your physician or a licensed health care professional.

Not a Subscriber? Sign up for Simply Well Today.

 

Donate to UMass Memorial Health

Learn more about giving to UMass Memorial Health